Die x-chromosomale Hypophosphatämie (kurz XLH) ist eine seltene genetisch bedingte Störung des Knochenstoffwechsels, die zu einem chronischen Phosphatmangel führt. Wir sprachen mit dem Experten Priv.-Doz. Dr. Lothar Seefried über die Herausforderungen bei der Diagnose und Versorgung Betroffener.

Priv.-Doz. Dr. Lothar Seefried
Facharzt für Orthopädie und Unfallchirurgie, Osteologe (DVO)
Herr Dr. Seefried, wie äußert sich die seltene Erkrankung XLH und was sind ihre Ursachen?
Die genetische Veränderung, die Ursache der XLH ist, betrifft das PHEX-Gen. Die Veränderung dieses Gens führt zu erhöhten Spiegeln des Hormons FGF23, das letztlich die Rückgewinnung von Phosphat in der Niere vermindert. Dieses Phosphat braucht der Körper aber, um u. a. Knochen und Zähne stabil auszubilden. Das Phosphat wird dem Körper also nicht in der erforderlichen Menge zur Verfügung gestellt, sondern mit dem Urin ausgeschieden, sodass XLH-Betroffene einen ständigen Phosphatmangel haben. Zudem hemmt das FGF23 auch die Aktivierung von Vitamin D, was ebenfalls für den Knochenaufbau wichtig ist. Dieser chronische Phosphat- und Vitamin D-Mangel bewirkt eine fehlende Aushärtung von Knochen und Zähnen.
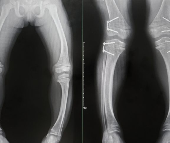
Gibt es in einer Familie bereits XLH-Betroffene, dann werden neu in diese Familie geborene Kinder in der Regel direkt auf die Erkrankung untersucht. Ist das nicht der Fall, werden betroffene Kinder meist klinisch auffällig, wenn sich der Laufbeginn verzögert, da die Knochen nicht stabil genug sind und die Kinder gehemmt sind, sie zu belasten. Sobald sie dann doch beginnen zu laufen, verformen sich durch die fehlende Aushärtung der wachsenden Knochen die Beine. In den meisten Fällen entwickeln sie ausgeprägte O-Beine, aber auch X-Beinstellungen treten auf. Durch die Störung im Knochenstoffwechsel ist zudem häufig auch das Wachstum verzögert. Außerdem härtet häufig der Zahnschmelz nicht richtig aus, was zu Zahnproblemen bis hin zu schmerzhaften Zahnabszessen führen kann. Im Moment gehen wir davon aus, dass bei 70% der Fälle bereits andere Familienmitglieder betroffen sind. 30% werden als spontane Varianten angesehen.
Was sind die Herausforderungen bei der Diagnose?
Die Herausforderung ist, dass man die XLH interdisziplinär betrachten muss. Läuft das Kind nicht und/oder hat krumme Beine, dann führt der erste Weg meist vom Kinderarzt zum Kinderorthopäden. Der müsste dann zum Kinderendokrinologen weitervermitteln, da dort die Laborparameter untersucht werden können, die auf XLH hinweisen. Wenn dann die Phosphatwerte auffällig niedrig sind, kommt man der Erkrankung langsam auf die Spur.
Mittlerweile ist die Awareness rund um die XLH wesentlich höher, sodass sie sehr viel häufiger richtig erkannt wird als noch vor zehn Jahren.
Ist die Diagnose gestellt, gibt es mittlerweile sehr gute Behandlungsmöglichkeiten. Früher war die einzige Möglichkeit die Gabe von Phosphat und aktivem Vitamin D. Das nicht sehr schmackhafte Phosphatpräparat musste mehrmals am Tag oral eingenommen werden, was für betroffene Kinder und ihre Eltern einen Kraftakt darstellte. Glücklicherweise gibt es seit einigen Jahren einen Antikörper, der an der Ursache der Erkrankung ansetzt und bereits in der frühen Kindheit eingesetzt werden kann. Dieser muss nur noch alle zwei Wochen per Injektion verabreicht werden. Diese Antikörpertherapie bringt den Phosphatstoffwechsel wieder ins Gleichgewicht und hat einen deutlichen Benefit für betroffene Kinder: Die Beine wachsen gerade, die Beweglichkeit und körperliche Leistungsfähigkeit ist wesentlich besser, und somit sind die Kinder auch sozial sehr viel besser integriert. Sie können Fangen spielen, mit anderen Kindern herumhüpfen, Sport treiben. Das ist ein ganz wichtiger Punkt, da die Lebensqualität Betroffener so stark verbessert werden kann.
Betroffene Kinder werden nach der Diagnose im Regelfall gut betreut, auch weil die Eltern hier stark eingebunden sind. Wie sieht die Versorgungsrealität aus, wenn Betroffene heranwachsen?
Bei Patienten, die als Kinder diagnostiziert wurden, beginnen die Probleme meist in der Pubertät. Mit 13 hat man andere Prioritäten, man möchte nicht anders sein als die peer group, will sich nicht um irgendwelche Therapien kümmern müssen. Zudem geht es diesen Patienten aufgrund der Therapie gut, sodass sie sich fragen: Warum soll ich das denn weiter machen, ich bin doch fit und normal? Daher muss man bei ihnen ein Bewusstsein dafür schaffen, warum eine kontinuierliche Therapie so wichtig ist.
Die nächste Hürde ist der Übergang in die Erwachsenenmedizin, da die Patienten dann nicht mehr von Eltern und pädiatrischen Spezialisten umsorgt werden. Hier fehlen uns häufig die Brücken, um die weitere Versorgung zu sichern. Das liegt auch daran, dass es weniger Spezialisten für erwachsene Patienten gibt. Daher sind die spezialisierten Zentren so wichtig, die auch erwachsene Betroffene weiter gut versorgen. Denn hier finden Betroffene und lokale Behandler ihre Ansprechpersonen, die weiter durch die Therapie begleiten. Hier braucht es aber strukturelle Verbesserungen.
Manche Betroffene erhalten zwar die Diagnose XLH, aber finden nicht den Weg in die medizinische Versorgung. Woran kann es liegen, dass diese Patienten den Weg in die Therapie nicht finden?
Hier sehe ich das größte Problem bei Patienten, die in den 70er, 80er, 90er oder 2000er Jahren diagnostiziert wurden. Sie haben irgendwann mit der Behandlung aufgehört, da man davon ausging, dass die Erkrankung nur in der Wachstumsphase ein Problem darstellt und eine Therapie nach dem Auswachsen nicht mehr nötig sei. Mittlerweile wissen wir, dass auch erwachsene Patienten weiterhin eine adäquate medizinische Versorgung brauchen. Aber diese Patienten wissen häufig gar nicht, dass es mittlerweile neue Behandlungsmöglichkeiten gibt, und fallen komplett aus der Versorgung. Solche Patienten werden dann häufig im Alter von 40+ zu mir geschickt, da die gesundheitlichen Probleme zunehmen, oder kommen mit Spezialisten in Kontakt, weil sie Kinder bekommen haben, die ebenfalls betroffen sind und nun eine Behandlung erhalten. So können diese Patienten den Weg zurück in die Versorgung finden.
Es ist nie zu spät, wieder in die Behandlung einzusteigen. Wir können dann zwar keine bereits entstandenen Schäden rückgängig machen, aber weitere Schäden verhindern.
Stichwort weitere Schäden: Warum ist es so wichtig, dass Betroffene auch im Erwachsenenalter gut versorgt bleiben?
Durch die Knochenverformungen kann es zu einer Fehlbelastung der Gelenke kommen, zudem haben XLH-Patienten eine stärkere Neigung zur Arthrose. Es kann zudem zu schmerzhaften Verkalkungen von Weichteilstrukturen, insbesondere Sehnenansätzen und Bändern kommen, und auch bei erwachsenen Betroffenen kommt es noch zu Zahnabszessen. Auch die Nieren können verkalken, wenn der Stoffwechsel nicht gut eingestellt ist. Die Gelenke können sich versteifen, was zu Bewegungseinschränkungen und starken Schmerzen führt. Im fortschreitenden Erwachsenenalter beobachten wir bei XLH-Betroffenen auch deutlich häufiger Hörstörungen und unterschiedliche Stoffwechselveränderungen, die einer guten Betreuung bedürfen. Unsere Hoffnung ist es, dass die kontinuierliche Antikörpertherapie auch hier zu Verbesserungen führt. Eine optimale Versorgung im Erwachsenenalter ist also immer sinnvoll, egal, ob die Patienten bereits im Kindesalter oder erst als Erwachsene diagnostiziert wurden. Man muss aber deutlich sagen: Je früher die Diagnose gestellt wird und je früher man mit einer Therapie beginnt, umso besser können wir Betroffenen helfen und Folgeschäden verhindern.



