Skip to main content
Mythen, Mut und der Umgang mit dem Risiko: Leben mit Hämophilie
Seltene Erkrankungen
Mediaplanet Deutschland
Krankheitsbilder
Gene
Anlaufstellen
Forschung
HAE
More
Mukoviszidose
lhon
Immunologie
Zystennieren
VERANSTALTUNGSTIPP
Alle Beiträge | Archiv
Mukoviszidose
lhon
Immunologie
Zystennieren
VERANSTALTUNGSTIPP
Alle Beiträge | Archiv
Krankheitsbilder
Tenosynoviale Riesenzelltumoren (TGCT): „TGCT können fundamentale Konsequenzen für die Lebensqualität Betroffener haben.“
Sponsored
Erste Gentherapie für Hämophilie B – Ein neuer Ansatz in der Behandlung
Anlaufstellen
„Die Lebensqualität der PV-Patienten sollte bei jeder Therapieentscheidung im Vordergrund stehen“
Sponsored
Leben mit Systemischer Mastozytose verstehen und gestalten
Anlaufstellen
„Ich hätte viel früher die Reißleine ziehen sollen“
Sponsored
Leben mit MPN – Umfassende Hilfe für Betroffene
Krankheitsbilder
„Was ich mir wünsche? Akzeptanz statt dummer Sprüche!“
Nehmt euch die Zeit, die Person hinter der Erkrankung kennenzulernen und lernt, was es bedeutet, mit einer chronischen Krankheit leben zu müssen. JannisFriedreich-Ataxie-Patient@_liebesmeister Jannis ist 26 Jahre alt, besucht leidenschaftlich gern Festivals, interessiert sich für Design und Streetwear. Dass er aber nicht so ist wie andere junge Menschen, sieht man bereits an seinem Rollstuhl. Jannis … Continued
Lesen Sie unsere Ausgaben als ePaper
Krankheitsbilder
Wenn der Schmerz das Leben diktiert: Tom Kaulitz und sein Alltag mit Clusterkopfschmerz
Krankheitsbilder
„Wir können heute die Ursache dieser Erkrankungen gezielt angreifen“
Krankheitsbilder
Tenosynoviale Riesenzelltumore (TGCT): Gutartig, aber keinesfalls harmlos
Krankheitsbilder
Systemische Mastozytose: „Man sollte sich das Leben nicht von der Erkrankung diktieren lassen“
Krankheitsbilder
Myasthenia gravis: Eine häufig missverstandene Erkrankung
Krankheitsbilder
Wir alle können dazu beitragen, Barrieren abzubauen und Chancen zu eröffnen
Der Februar gehört den Menschen mit Seltenen Erkrankungen: Weltweit machen Betroffene, ihre Familien, die Unterstützerinnen und Unterstützer gemeinsam sichtbar, was sonst allzu oft übersehen wird.
Krankheitsbilder
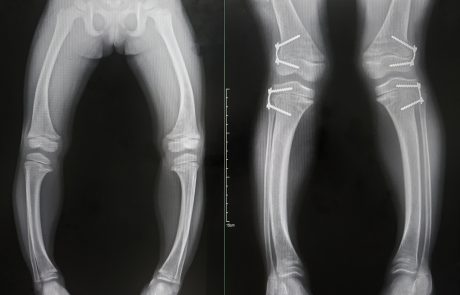
„XLH-Betroffene brauchen eine adäquate Betreuung – Ihr Leben lang“
Krankheitsbilder
Lennox-Gastaut-Syndrom: „Bei der Therapie steht immer die Lebensqualität Betroffener im Fokus“
Sponsored
Myasthenia gravis – Neue Perspektiven zur kontinuierlichen Krankheitskontrolle
Forschung
LEBEN MIT XLH: „Eine kontinuierliche Behandlung ermöglicht ein enormes Plus an Lebensqualität und Teilhabe“
Forschung
„Die Behandlung der Mastozytose war noch nie so wirksam möglich wie heute“